Case report: Underwater cold snare

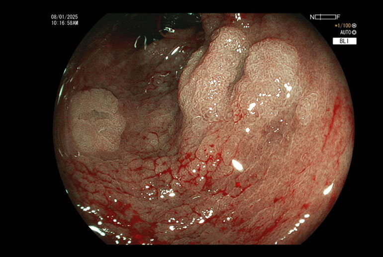
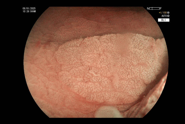
Polyps seen using image enhancement (Blue Light Imaging)Polyps seen using image enhancement (Blue Light Imaging)

DLMN, F, 50 yrs.
Known case of ulcerative colitis for more than 10 years underwent porotocol based surveillance colonoscopy. Multiple flat polyps were encountered in all segments of the colon and a total of 8 polyps were removed using the technique of Underwater Cold Snaring.

Patients who have had inflammatory bowel disease for a long time are at risk of developing colonic cancer and are required to undergo periodic surveillance by colonoscopy. These procedures should be performed by experienced colonoscopies and special techniques such as image enhancement, chromoendoscopy, artificial intelligence enhanced colonoscopy may be used to increase detection of polyps. Polyps are a risk factor for development of dysplasia and malignancy and need to be removed whenever encountered, if it is safe to do so. With modern techniques, it is possible to prevent colon cancer by effective polypectomy techniques.

Traditionally polyps have been removed by snaring them with a wire and using electric current to cut through. In the past decade the technique of cold snare has become very popular, especially for removing sessile or nonpedunculated polyps, because it avoids complications associated with the use of electric current such as transmural electric burns, post polypectomy syndrome, perforation etc. Polyps up to 15 mm can be easily removed en bloc with the cold snare technique and larger polyps may sometimes be removed in a piecemeal manner.

Performing the same procedure under water is now recognized to offer additional advantages. In this technique then a polyp is detected, air is sucked out of the colonic lumen and approximately 300 to 400 mL of water is infused. The entire procedure of snaring and resecting the polyp is then done under water immersion. Water acts as a natural magnifier hence mucosal details of the polyp are much more clearly visualized. Most polyps tend to float in water due to their fat content and this leads to a natural separation of the polyp from the underlying submucosal layers. This makes it easier to grasp the polyp by snare and to resect it with less possibility of causing a perforation.

Our patient had multiple polyps ranging between 7mm to 15 mm. Most of the polyps were flat, classified as Paris to AA. Several of these polyps were situated in cecum and ascending colon where colonic wall is quite thin and risk of perforation is higher. Using the technique of hydraulic immersion, it was possible to remove all these polyps with minimal risk to the patient. Post polypectomy site of the largest removed polyp was seen to be oozing blood; this was sealed with application of 3 hemoclips; effective hemostasis was achieved and patient did not suffer any complications.

This case report highlights the following important points:

1. The facility for colon cancer surveillance in patients with IBD is available in Medicare well specialty hospital. We have highly experienced clinicians who are adept in all modalities required for these procedures.

2. Colon cancer screening and surveillance with polypectomy is known to reduce risk of cancer.

3. With modern techniques, risk of complications is much lower than before and most patients will have an excellent outcome.

References:

1. Maruoka D, Kishimoto T, Matsumura T, Arai M, Akizue N, Ishikawa K, Ohta Y, Kasamatsu S, Taida T, Ishigami H, Okimoto K, Saito K, Nakagawa T, Kato N. Underwater cold snare polypectomy for colorectal adenomas. Dig Endosc. 2019 Nov;31(6):662-671. doi: 10.1111/den.13427. Epub 2019 May 27. PMID: 31038769.

2. Zachou M, Nifora M, Androutsakos T, Katsaras G, Varytimiadis K, Zoumpouli C, Karantanos P, Lalla E, Mpetsios G, Panoutsakou M, Stoica R, Thermou D, Mavrogenis G, Ntikoudi E, Nikiteas N, Sougioultzis S, Kalaitzakis E, Kykalos S. Results of the COLDWATER randomized controlled trial: enhanced performance of underwater cold snare polypectomy for colorectal polyps 5-10 mm, independent of endoscopist experience. Ann Gastroenterol. 2024 Jul-Aug;37(4):466-475. doi: 10.20524/aog.2024.0889. Epub 2024 Jun 14. PMID: 38974083; PMCID: PMC11226736. ,,,,,,,

Whatsapp Now