
- 0 Comments
- Case Study
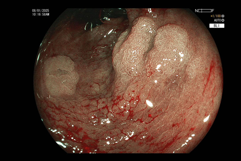
DLMN, F, 50 yrs.Known case of ulcerative colitis for more than 10 years underwent porotocol based surveillance colonoscopy. Multiple flat polyps were encountered in all segments of the colon and a total of 8 polyps were removed using the technique of Underwater Cold Snaring. Patients who have had inflammatory bowel disease for a long time […]
Learn More